
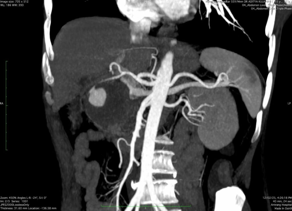
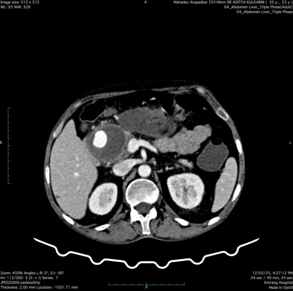
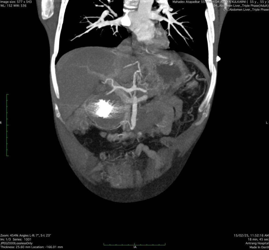
A 53 years- old male presented with a history of repeated GI bleeding for 20days. He had undergone UGI scopy and colonoscopy twice elsewhere with no obvious source of bleed. He was referred to us for further management Initial investigations revealed low haemoglobin levels (3.4), necessitating multiple blood transfusions. CECT abdomen done revealed 4.2×3.4cm pseudo aneurysm arising from Gastro duodenal artery branch within pseudocyst. There was bleeding within pseudocyst. Endoscopic ultrasound (EUS) guided coil +glue was performed to manage the pseudo aneurysm. Post procedure imaging showed Complete Occlusion of the pseudo aneurysm, and the patient was stabilized with supportive care, including IV fluids, antibiotics, and proton pump inhibitors (PPI)


Pseudo aneurysms in chronic pancreatitis are rare but can be fatal due to spontaneous rupture. The primary arteries involved are the splenic, gastroduodenal arteries. The diagnostic approach includes contrast- enhanced computed tomography (CECT), magnetic resonance angiography (MAR), and catheter angiography. Management options include endovascular interventions such as coil embolization or glue injection, surgical resection, or a combination of both as per the local expertise.
EUS guided vascular interventions in pancreatitis is a novel treatment option in armamentrium of pseudoaneuryms management. As per the recent multicentric study done by PGI Chandigarh and AIG Hyderabad EUS guided pseudoaneurysm coil and glue injection is a safe and highly effective procedure. Its results are comparable to conventional angiography with coil occulsion.
The advantage of EUS guided coiling is, its mininmally invasive, real time and complete occulsion can be seen with help of a doppler.
So in conclusion EUS guided pseudoaneurysm coil is a novel modality and can be added to the management protocol wherever the local expertise is available.









